
最初に、ご提案です!!
ケガをしたら、まずは、はしぐち整骨院にお電話:0120-983-395
や
LINEでご相談ください!
※LINEに残してもらえれば、緊急性があれば、キチンとリアクションします![]()
当院で対応できるものは、速やかに対応し、難しいモノ、
専門医の診察を受けたほうが良いケガは、適切な専門医をご紹介します![]()
さて、今回のブログは「舟状骨骨折」を紹介します!
バスケットボール中に転倒し、手をついた際に手首を痛めたケースです![]()

プロメテウス解剖学より引用
⇧は、右手の舟状骨を図示しています。

土曜日のけがで、痛みが引かずに『休日当番医』![]()
を受診し、当初は「捻挫」と考えられていましたが、
2週間経過しても痛みが続いている…と、当院に来院されました。
病歴や、所見(患者さんの症状:握力、触って痛い、動かすと痛い)より舟状骨骨折を疑います・・![]()

こんな感じで、舟状骨の

などで詳しく検査したところ、

※左(患側:右手)、右(健側:左手)
骨の連続性が断たれたことを疑わせる、エコー画像が描出され、
患側の血流増加(炎症反応)も確認されました。
これらのことから舟状骨骨折が疑われました![]()
舟状骨骨折は、転倒して手をついた際に起こりやすい骨折の一つです。
しかし、初期のレントゲンでは写らないこともあり、
捻挫として見過ごされることが少なくありません![]()
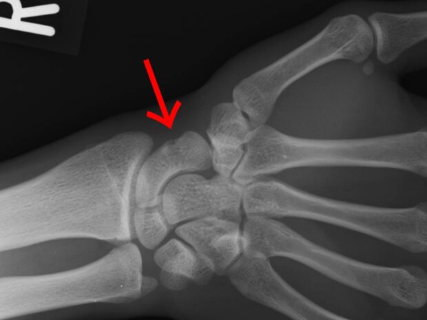
手の専門医にて精査を行ったところ、やはり舟状骨(遠位1/3)骨折との診断でした…![]()
当院では整復を行い、ニールスプリントにて固定しました。
利き腕のため、使いやすさも考慮した固定をし、患部の安静を保ちます。

日々の治療では、
を照射しています。

※オステオトロンV(LIPUS:低出力パルス超音波)とは??
LIPUS(Low Intensity Pulsed Ultra Sound:低出力パルス超音波)の音圧効果により、
骨折部位の骨の形成を促進し、1日20分照射するだけで、
骨癒合期間(骨の治る期間)を約40%も短縮できます!!
※骨癒合期間短縮には個人差があります。必ずしもすべての方が短縮するとは限りません。
★ 舟状骨骨折の特徴
☑親指の付け根の痛み
☑手首を反らすと痛い
☑押すとピンポイントで痛みがある
☑腫れが強くないことも多い
☑痛みはあるが動かせてしまう
このように、「動かせる=軽傷」と判断されやすい点が特徴です![]()
★放置するとどうなる?
舟状骨は血流が乏しい部位のため、適切な固定を行わないと
・骨がくっつかない(偽関節:治らず動いてしまう)
・骨が弱る(壊死:血が届かず骨の一部が死んでしまう)
※手術になる可能性が高くなります![]()

・手首の慢性的な痛み
・可動域制限
・握力低下
・将来的な変形性関節症
といった後遺症につながる可能性があります。
手首のケガは軽く見られがちですが、
見逃すと長期的な影響が出るケースもあります。
「いつもと違う痛み」、「長引く違和感」がある場合は、
早めの対応が大切です。
気になる症状があれば、お気軽にご相談ください![]()

★整骨院で判別(骨折・脱臼疑い)はできますが、最終的な「診断」は医師のみができます。
★骨折、脱臼の初回処置(応急処置:ケガして直ぐの処置)は、可能なのですが、
2回目以降の施術(治療)や過去に医師に骨折・脱臼と診断されたものに関しては、法律上、
医師の同意(後療を〇〇整骨院でしていいですよ)がなければ施術できませんのでご留意ください。
※同意を得る方法は、書面でも口頭でも良いとされております。
こんな感じで、はしぐち整骨院は、多くのケガ処置をとおして、
地域貢献しています![]()
スポーツでのケガ、外傷、障害で悩んでいる。
日常生活でのケガ、不調で悩んでいる。
もしも、交通事故にあってしまいケガをした、周りの方で交通事故にあった人がいる
そのような場合は、
まず、はしぐち整骨院にご一報いただけますと幸いです
その他にも、チームで使うテーピングの購入にも対応していますので、
ご利用の際は遠慮なく受付へお尋ねくださいませ☆
何かあった際は、ぜひご相談ください( `ー´)ノ
急患の対応もしています。
☏0120-983-395(フリーコール)
・LINEで予約
https://liff.line.me/1645278921-kWRPP32q/?accountId=dpn8043v

※当日の急な予約も承っておりますので、お気軽にお問い合わせくださいね!
※写真は本人の許可を得ています。
※写真や本ブログの転載・流用厳禁です。