
今回のブログは、
ただの打撲、捻挫と
思っていたけど
実は骨折しているかも!?
という症例を紹介したいと思います!!
紹介する症例は鎖骨骨折です!!
鎖骨は、肩の前にある骨です!

体表からも容易に触ることができます!
骨折と聞いて、直達外力(外力が直接働いた、部位で骨折するもの)
で発生するものをイメージされる方が多いと思います。
イメージ
・物が鎖骨にあたる、棒で鎖骨を叩かれるなど
しかし、鎖骨骨折の場合は、介達外力(外力が他の部位に誘導さて離れた部位で骨折するもの)
で発生することが多いです!!![]()
介達外力で鎖骨骨折がどう起こるかというと、
転倒したときに手や肩をつき発生することが多いです!!![]()

そして、鎖骨は周りの骨と関節、靭帯、筋肉で連結しているため
骨折すると、変形や機能障害を残しやすいです!
特に変形が残ると外観上見えやすい位置にもあるため
早期に処置、固定を行うことが重要です!!![]()
↓今回の症例↓
自宅で転倒した際に、肩を痛めて来院されました。

見た目に大きな変形はありませんが、
皮下出血班があります!(赤〇)
エコー画像で観察したものでは、赤丸で囲った部分の
骨の連続性が途絶えているのがわかります。

精査を行ったところ左鎖骨骨折という診断でした。

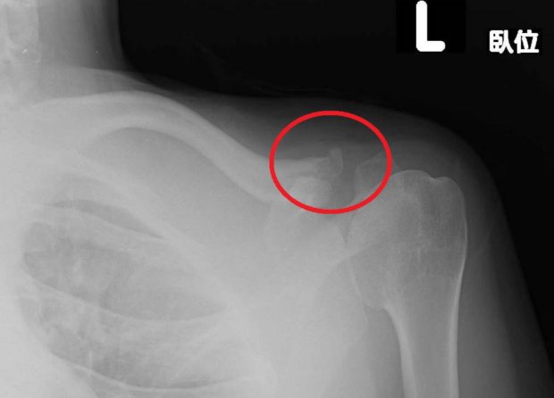
紹介をした整形外科で撮ってもらったレントゲンです。
赤丸で囲った部分に軽度の変形がみられます。
明らかな変形や強い痛みがなくても骨折をしている
ことがあるため、自己判断は厳禁です!!
はしぐち整骨院では、
骨折、脱臼、捻挫、打撲
に対して効果的な治療器や
固定材、サポーターなどを完備しています!!
そのため、早期に部活復帰をする最善のサポートをすることが可能です!!

身体の内部を見える化できる方法(エコー画像観察)があります!
その為、どこをケガしているのか、
正確に分かり、より効率的、かつ効果的な治療を可能とし、
治療効果を上げることができます!!!![]()
![]()
下のブログは骨折の疑いで第5中手骨頸部をエコー画像で見た別の症例です!!
★オステオトロンV(LIPUS:低出力パルス超音波)(リンク付き)
・オステオトロンV(LIPUS:低出力パルス超音波)とは??
LIPUS(Low Intensity Pulsed Ultra Sound:低出力パルス超音波)の音圧効果により、
骨折部位の骨の形成を促進し、1日20分照射するだけで、
骨癒合期間(骨の治る期間)を約40%も短縮できます!!
エコー(超音波画像診断装置)で、痛めている部位を確認し、
そこにオステオトロンを照射します!!
※骨癒合期間短縮には個人差があります。必ずしもすべての方が短縮するとは限りません。
患者さんの状態に合わせて固定処置、サポーターを紹介します!!

今回の鎖骨骨折でも処置・固定を行いました!
骨片がずれないように今回は古典的な厚紙副子による固定を行いました!![]()

クラビクルバンドで胸郭拡大を行い、
アームホルダーで提肘を行いました!

当院では、医療連携の体制があるため適切な処置、固定を治療方針を
患者さんに提供することができます!!

はしぐち整骨院は、チーム医療、医療連携を大切にしています![]()
患者さんの視点から考えているはしぐち整骨院なので、
当院の考えが、絶対に正しいとは思っていません。
その患者さんの意向や背景を確認して、必要な場合や、ご希望される場合に、
専門医や専門家にお繋ぎするようにしています。
長崎市内の整骨院で、複数医師と連携できている整骨院は当院のみです![]()
※整骨院で判別(骨折・脱臼疑い)はできますが、最終的な「診断」は医師のみができます。
※骨折、脱臼の初回処置(応急処置:ケガして直ぐの処置)は、可能なのですが、
2回目以降の施術(治療)や過去に医師に骨折・脱臼と診断されたものに関しては、法律上、
医師の同意(後療を〇〇整骨院でしていいですよ)がなければ施術できませんのでご留意ください。
※同意を得る方法は、書面でも口頭でも良いとされております。
痛みや、違和感がある場合は
迷わず、はしぐち整骨院にご相談ください!!![]()
年末年始開業日のお知らせです!!

おかげさまで当院は、来年で開院25周年を迎えます!![]()
これまで支えてくださった皆さまに、心より感謝申し上げます!
25周年を記念して、割引や特別な企画も検討しておりますので、
ぜひ楽しみにお待ちください!
また、当院の
では、お家で簡単にできる運動療法(体操)を公開しております!!
是非、体操を行い、痛くならない体づくりをしましょう!!
▼こちら画像をクリックするとInstagram画面へ直接行けます▼
▼こちら画像をクリックするとYouTube画面へ直接行けます▼

こんな感じで、はしぐち整骨院は、多くのケガ処置や運動療法をとおして、
地域貢献しています![]()
スポーツでのケガ、外傷、障害で悩んでいる。
日常生活でのケガ、不調で悩んでいる。
もしも、交通事故にあってしまいケガをした、周りの方で交通事故にあった人がいる
そのような場合は、
まず、はしぐち整骨院にご一報いただけますと幸いです
その他にも、チームで使うテーピングの購入にも対応していますので、
ご利用の際は遠慮なく受付へお尋ねくださいませ☆
何かあった際は、ぜひご相談ください( `ー´)ノ
急患の対応もしています。
☏0120-983-395(フリーコール)
・LINEで予約
https://liff.line.me/1645278921-kWRPP32q/?accountId=dpn8043v

※当日の急な予約も承っておりますので、お気軽にお問い合わせくださいね!
※写真は本人の許可を得ています。
※写真や本ブログの転載・流用厳禁です。